
Питание для здоровых зубов: что есть и чего избегать
То, что вы едите, напрямую влияет на здоровье зубов. Стоматолог-диетолог рассказывает о продуктах-друзьях и продуктах-врагах ваших зубов.
Стоматология Frangelik — современная клиника, предлагающая своим пациентам передовые методы лечения зубов и инновационные технологии.
Возвращаем зубам здоровье, а улыбке красоту!

Специальные условия для наших пациентов
Полное восстановление зубного ряда за один день. В стоимость входит: установка 4 имплантов, временный протез, наблюдение.
Комплексная профессиональная гигиена полости рта: ультразвук, Air Flow, полировка, фторирование.
Первичная консультация стоматолога с составлением плана лечения. Осмотр, диагностика, рекомендации.

Мы — современная стоматологическая клиника, которая сочетает передовые технологии с индивидуальным подходом к каждому пациенту. Наша миссия — вернуть вам красивую и здоровую улыбку без боли и страха.
За 15 лет работы мы помогли более 5000 пациентам обрести уверенность в своей улыбке. Наши специалисты регулярно проходят обучение в ведущих клиниках Европы и используют только сертифицированные материалы.
Качественное лечение всегда начинается с тщательной диагностики, поэтому в нашей стоматологии применяются передовые методики диагностических обследований и высокоточное оборудование
Сохраним ваши зубы в самых сложных случаях, вылечим кариес, пульпит, периодонтит без боли и стресса, по доступной цене
В нашей стоматологии имплантация выполняется квалифицированными хирургами-имплантологами, с применением имплантационных систем от ведущих мировых брендов
Даём гарантию на все виды работ. Бесплатные консультации и сопровождение после лечения для полного контроля результата

Что говорят о нас наши пациенты
январь 2026 г.
В свои 27 лет, у меня отсутствует уже два зуба, пришел в клинику по рекомендации своей супруги, она тоже в свое время здесь лечислась. Мне поставили 2 импланта. Куратор лечения предложила мне вариант оплаты по семейной скидке, мы оформили все на полгода через банк, тк мы с женой строим дом, нам это было очень кстати.
Имплантацияянварь 2026 г.
Перед тем, как я попала в стоматологию Frangelik, я уже обследовалась в 3 клиниках. Решающим фактором была цена на комплексный план лечения и возможность лечения в рассрочку на долгий срок. Очень боялась имлантации, но в руках доктора Ческидова просто расслабляешься. Еще один важный момент, тк я допоздна работаю, меня всегда принимали около 8 часов вечера в будние дни, очень удобно что клиника работает почти круглосуточно. Мое лечение полностью курировали, тк у меня был очень большой план лечения, помогли его разбить и по оплате и по срокам, и в дальнейшем распределяли меня по докторам. Чувствуешь заботу на всех этапах лечения.
Имплантацияянварь 2026 г.
В стоматологию Frangelik меня привел можно сказать силком сын. У меня были большие проблемы с зубами. Отсутствовали зубы на всей верхней челюсти. Предложили несколько вариантов лечения. Выбрали оптимальный, мне поставили импланты и протез на них. Лечение оформили через банк, тк сразу не было возможности оплатить. На ресепшне очень приветливые девочик, всегда позвонят, всегда напомнят о приеме. Доктор Ирина Викторовна, душевный человек. Привела в клинику также свою подругу, вообщем мы довольны.
Имплантацияянварь 2026 г.
Я оставила заявку в интернете на бесплатную чистку зубов по акции. Пришла, сделали все как надо, провели консультацию с двумя докторами. Перелечили зубы которые меня давно беспокоили и поставили коронки. План лечения со мной составлял доктор и мой куратор лечения Оксана Валерьевна, она помогла выбрать оптимальный вариант оплаты и в дальнейшем курировала мое лечение, что немаловажно.
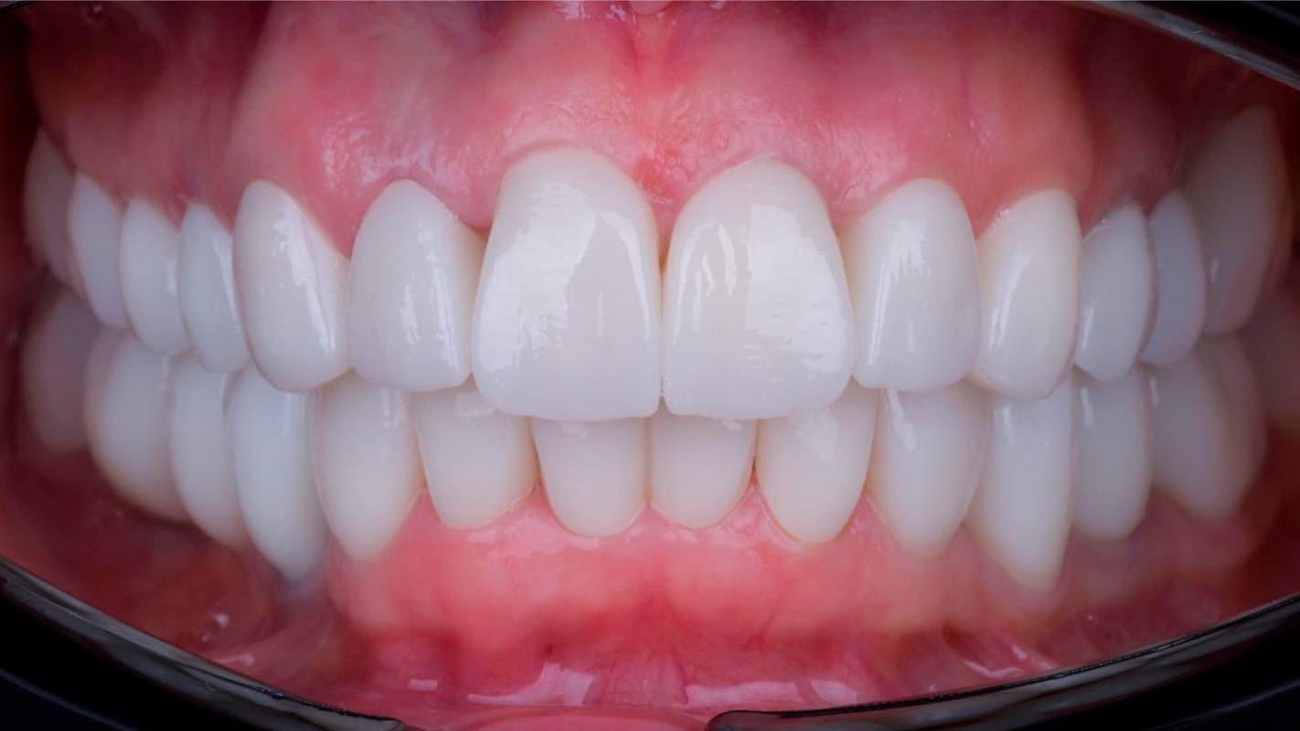
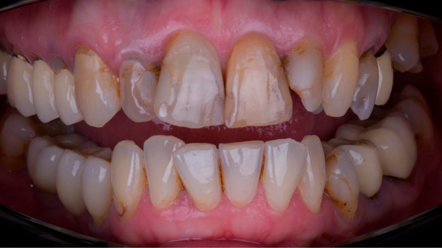
Чистка зубовПеретяните слайдер, чтобы увидеть результат лечения


Полное восстановление зубных рядов
Прозрачное ценообразование без скрытых платежей
* Указаны ориентировочные цены. Точная стоимость определяется после консультации врача.
Рассчитайте ориентировочную стоимость лечения онлайн. Выберите услугу, укажите зубы и получите предварительный расчёт.
Имплантация, протезирование или лечение
Выберите нужные зубы на схеме
Скидки при лечении нескольких зубов

То, что вы едите, напрямую влияет на здоровье зубов. Стоматолог-диетолог рассказывает о продуктах-друзьях и продуктах-врагах ваших зубов.
Эрозия эмали — постепенное растворение твёрдых тканей зуба под воздействием кислот. Рассказываем, откуда берутся кислоты и как защитить зубы.

Ирригатор — прибор, который дополняет зубную щётку и помогает поддерживать здоровье зубов и дёсен. Рассказываем, как выбрать и правильно пользоваться.
Современное пространство для комфортного лечения




Нажмите на документ для увеличения
Ответы на популярные вопросы наших пациентов
Запишитесь на бесплатную консультацию прямо сейчас. Наши специалисты подберут оптимальный план лечения для вас.
Нам доверяют